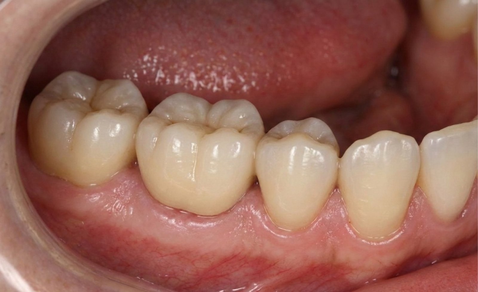
Teeth Replacement

Teeth Replacement

Maintaining optimal oral health through preventive dentistry is essential to preserving your teeth and gums. Preventive care focuses on avoiding issues such as cavities, gum infections, enamel erosion, and tooth loss by promoting good oral hygiene practices.

As our diets and lifestyles evolve, the risk of oral diseases has increased, making proactive dental care more crucial than ever. Fortunately, advancements in dental technology have made preventing and addressing these issues more effective.

At Somdental, we emphasize the importance of starting oral hygiene practices early and continuing them throughout life. Our team is dedicated to helping you maintain healthy teeth and gums, and we offer expert solutions for tooth replacement to ensure your smile remains bright and functional.