Cast Partial Dentures (CPDs) | Removable Solution for Multiple Missing Teeth

Cast Partial Dentures

Cast Partial Dentures (CPDs)

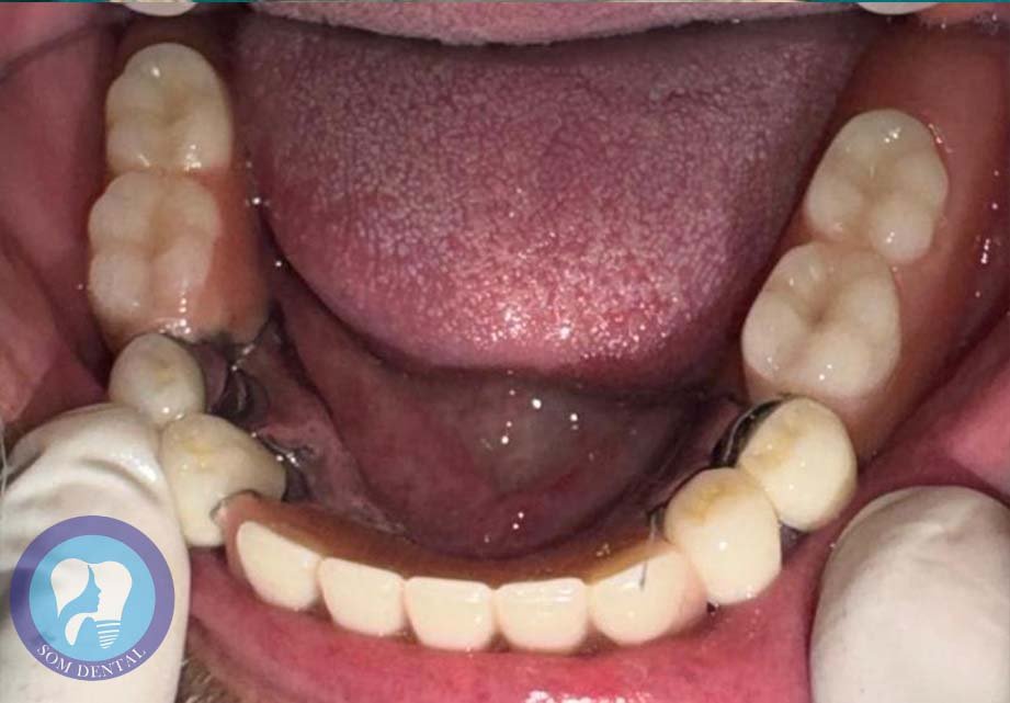
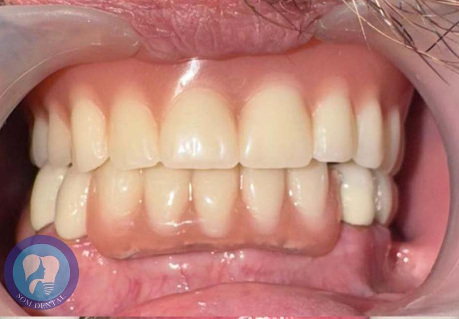
Cast Partial Dentures are a high-strength, lightweight, and comfortable option for replacing multiple missing teeth. They use a cobalt-chromium metal framework that fits securely around your natural teeth, offering excellent stability and function.

What Are Cast Partial Dentures?

A Cast Partial Denture is a removable dental appliance designed to replace missing teeth while preserving the health of remaining natural teeth. The combination of metal framework and custom-made artificial teeth gives a natural, secure feel.

Key Advantages

High Durability

Metal framework resists fracture and lasts longer than acrylic dentures.

Superior Fit & Comfort

Slim, lightweight design makes it easier to adapt to.

Stable & Secure

Precision clasps hold onto natural teeth, improving confidence while talking and chewing.

Better Chewing Efficiency

Restores proper function, allowing you to enjoy a wider range of foods.

Protects Remaining Teeth

Prevents shifting or tilting of adjacent teeth.

Aesthetically Pleasing

Can be designed with minimal visible metal for a natural smile.

Cost-Effective

Offers long-term value due to its strength and lifespan.

Gallery

Who Is It Suitable For?

Ideal for patients who:

  • Have some natural teeth remaining
  • Want a stable removable option
  • Need a long-lasting solution to replace multiple missing teeth

Care & Maintenance

  • Clean daily with a soft brush and denture cleanser
  • Keep away from hot water
  • Store in water when not in use
  • Visit your dentist regularly for adjustments and checkups

Frequently Asked Questions

1. What is a Cast Partial Denture?

A Cast Partial Denture is a removable dental appliance designed to replace multiple missing teeth. It is anchored to the remaining natural teeth with metal clasps, providing stability and support.

2. How is it different from a complete denture?

Unlike complete dentures, which replace all teeth in a jaw, a Cast Partial Denture only replaces the missing teeth and is supported by the remaining natural teeth.

3. Will it look natural?

Yes, Cast Partial Dentures are designed to blend seamlessly with your natural teeth, both in shape and color.

4. How do I care for my Cast Partial Denture?

Care involves regular cleaning with a soft brush and denture cleaner, avoiding hot water, and storing it in water when not in use. Regular dental check-ups are also important.

5. How long will it last?

With proper care, a Cast Partial Denture can last several years. The metal framework is particularly durable.

6. Is it comfortable?

Most patients find Cast Partial Dentures comfortable, as they are custom-made to fit the contours of your mouth. There might be an adjustment period after first getting them.

7. Can I remove it myself?

Yes, Cast Partial Dentures are designed to be easily removable by the patient for cleaning and maintenance.

8. What if I have more questions?

If you have more questions, feel free to contact us or consult your dentist. We're here to help!