Laminates & Veneers

Laminates & Veneers

Laminates & Veneers | Transform Your Smile with Natural-Looking Cosmetic Dentistry

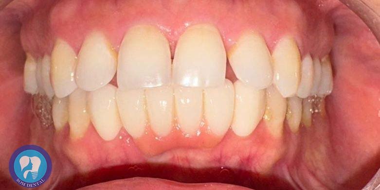
Laminates and Veneers are ultra-thin, custom-made shells placed on the front surface of teeth to instantly improve their shape, colour, alignment, and overall appearance. They are one of the most effective and long-lasting cosmetic dental treatments for achieving a perfect, natural-looking smile.

At our clinic, we use advanced digital techniques and high-quality materials to deliver precision, aesthetics, and long-term durability.

What Problems Can Veneers Fix?

Yellow, stained, or discoloured teeth
Gaps between teeth
Mildly crooked or misaligned teeth
Chipped or broken teeth
Worn-out or uneven teeth
Small teeth / gummy smile aesthetics
Darkened teeth that do not whiten easily

Veneers offer both functional improvement and dramatic cosmetic enhancement.

Types of Veneers Available at Our Clinic

1

Porcelain Veneers

Highly aesthetic, durable, and stain-resistant.

Best for: Long-lasting smile makeovers with a natural finish.

2

No-Prep / Minimal-Prep Veneers

Very thin laminates placed with minimal tooth reduction.

Best for: Patients wanting a conservative cosmetic option.

3

Composite Veneers / Laminates

Quick, affordable, and minimally invasive.

Best for: Minor corrections and budget-friendly makeovers.

We design your veneers using digital smile design to match your facial features and expectations.

Benefits of Laminates & Veneers

Instantly improves smile aesthetics
Natural tooth-like appearance
Long-lasting and stain-resistant
Minimal tooth reshaping
Strengthens weak or worn teeth
Boosts confidence and facial aesthetics
Customised colour, size, and shape

Gallery

Why Choose Our Clinic for Veneers?

Advanced Digital Smile Design

Precision planning for perfectly customised results.

High-Quality Materials

Premium porcelain and composite materials used.

Experienced Cosmetic Expertise

Specialist team with proven track record.

Shade Matching Expertise

Perfect natural results with precise colour matching.

Painless Procedure

Minimally invasive with utmost comfort.

Transparent Treatment Planning

Clear communication and cost transparency.

We ensure your veneers look natural, symmetrical, and flawlessly blended with your smile.

Get the Smile You've Always Wanted

Whether you're looking for a subtle enhancement or a complete smile transformation, our clinic offers precision-crafted veneers and laminates that deliver beautiful, confident, and lasting results.

Achieve your dream smile with our expert cosmetic dental solutions tailored just for you.

Frequently Asked Questions (FAQs) About Laminates & Veneers

1. What are dental veneers?

Dental veneers are thin, custom-made shells placed on the front surface of teeth to improve their colour, shape, size, and alignment. They offer a quick, long-lasting cosmetic transformation.

2. What dental problems can veneers fix?

Veneers can correct yellow or stained teeth, gaps or spacing, mild crowding or misalignment, chipped or fractured teeth, worn, uneven, or small teeth, and darkened teeth that don't respond to whitening.

3. Are veneers painful?

No. The procedure is painless and minimally invasive. Local anesthesia may be used if small enamel reduction is needed, but most patients experience no discomfort.

4. How long do veneers last?

Porcelain veneers typically last 10–15 years or more with good oral hygiene. Composite veneers last 5–7 years and may require touch-ups.

5. What is the difference between porcelain and composite veneers?

Porcelain Veneers: Highly aesthetic, durable, stain-resistant, long-lasting.
Composite Veneers: More affordable, quicker to place, but less durable and may stain over time. Your dentist will advise which option suits your goals and budget.

6. Do veneers look natural?

Yes. Modern porcelain veneers mimic the translucency and shine of natural enamel, creating a beautifully natural smile that blends seamlessly with your facial features.

7. Do veneers damage natural teeth?

Veneers require minimal enamel reduction, making them a conservative cosmetic option. With proper care, they protect and reinforce the underlying tooth structure.

8. Can I whiten my teeth after getting veneers?

Whitening treatments work only on natural teeth, not veneers. If whitening is desired, it should be done before veneers are placed.

9. How should I take care of my veneers?

Brush and floss daily, avoid biting hard objects, reduce tea, coffee, and tobacco intake, wear a night guard if you grind your teeth, and visit your dentist regularly. Good care significantly extends the life of veneers.

10. Are veneers reversible?

Porcelain veneers are generally considered irreversible due to minor enamel reduction. Composite veneers may be reversible depending on preparation.

11. How many visits are needed for veneers?

Porcelain veneers typically require 2–3 visits: consultation, preparation, and placement. Composite veneers can often be done in one appointment.

12. Can veneers fix crooked teeth?

Veneers can correct mild crowding or misalignment, but severe alignment issues may need braces or aligners first.